/ Servicios / Ortopedia / Miembro Superior

Miembro Superior

Recupera tu movilidad, mejora tu vida

Nuestro equipo de especialistas te acompaña desde el diagnóstico hasta la recuperación total.

Nuestro enfoque en Ortopedia

El servicio de Miembro Superior atiende lesiones traumáticas, degenerativas y congénitas en las extremidades superiores. Nuestros especialistas trabajan en devolver la funcionalidad a estructuras esenciales para la vida diaria, utilizando técnicas modernas y seguras.

Transformando vidas

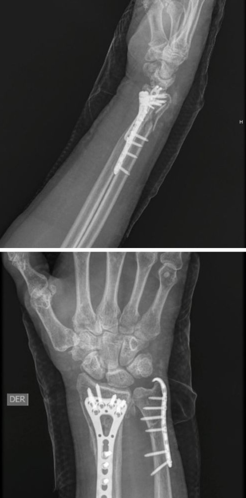
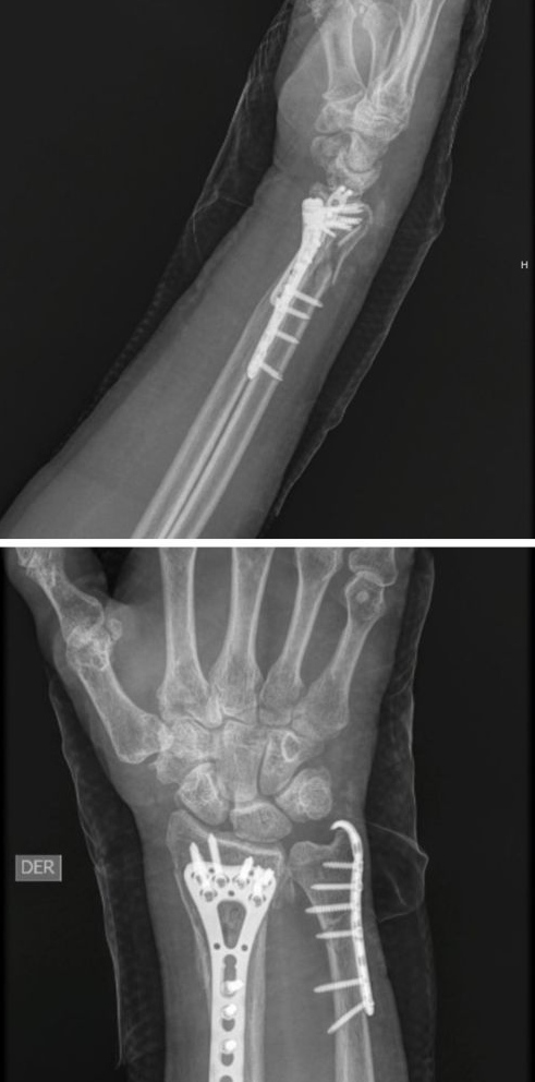
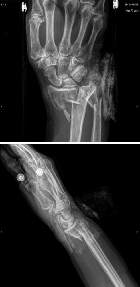
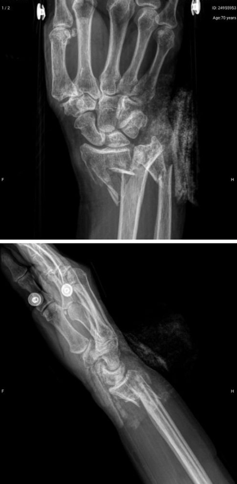
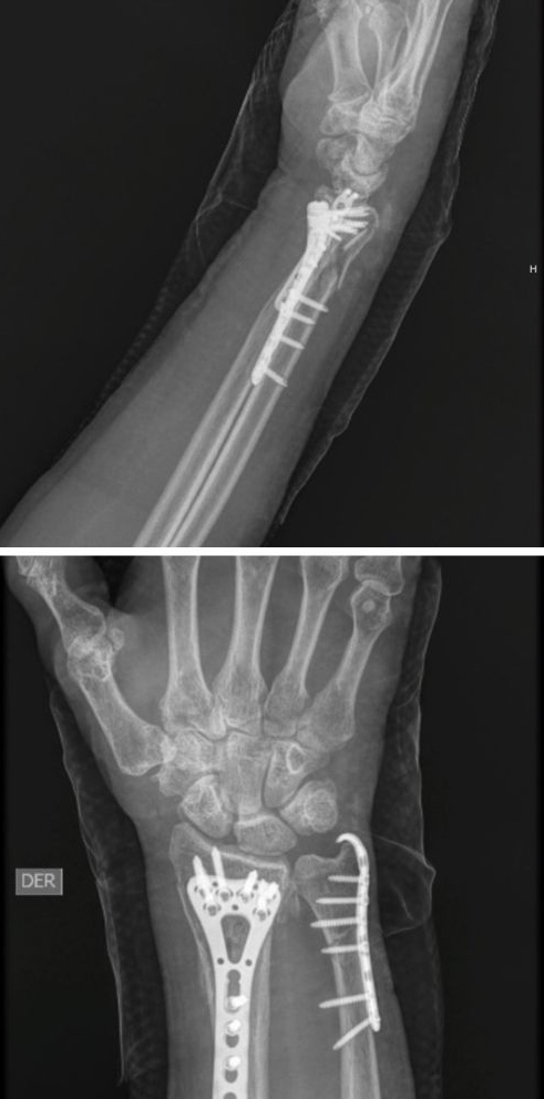
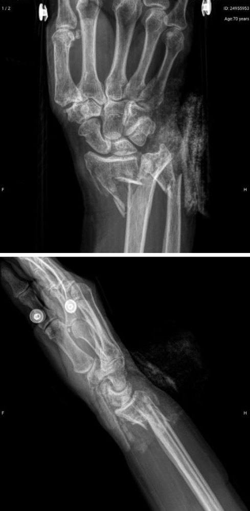
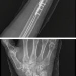
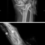
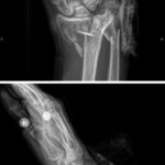
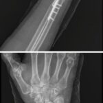
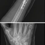
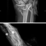
Historias de pacientes

Antes

Después

Nuestros especialistas

Sandra Yang

Especialista en trauma de cadera y pelvis

Ana Cárdenas

Especialista en trauma de extremidades

Andrés López

Especialista en trauma de mano y muñeca

Rocío Suárez

Especialista en trauma de columna

ortovital ips ortovital ortopedia Barranquilla

Cuida de los tuyos con Ortovital+:
Membresía familiar con tarifas preferenciales

Priorizamos la salud de cada miembro, incluyendo a todos los grupos familiares que nos eligen.

Preguntas frecuentes

En el área de Trauma Ortopédico resolvemos inquietudes comunes relacionadas con lesiones óseas, articulares y musculares ocasionadas por accidentes o impactos fuertes. Nuestro objetivo es brindarte información clara y confiable para que entiendas tu diagnóstico, el tratamiento indicado y el proceso de recuperación. Si tienes una duda específica o requieres una valoración, nuestro equipo está listo para ayudarte.

¿Cómo sé si una lesión necesita atención ortopédica inmediata?

Debes consultar de urgencia si presentas dolor intenso, deformidad visible, incapacidad para mover la extremidad, inflamación excesiva, hematomas grandes o si la lesión está asociada a un accidente de alto impacto. Una atención temprana evita complicaciones y mejora la recuperación.

¿Todas las fracturas requieren cirugía?

No. Muchas fracturas pueden tratarse de manera conservadora mediante inmovilización y control médico. La cirugía se recomienda cuando los huesos están desplazados, hay compromiso articular, lesiones múltiples o riesgo de mala consolidación. El médico evaluará el tratamiento más seguro y funcional según cada caso.

¿Cuánto tiempo tarda la recuperación después de un trauma ortopédico?

Depende de la gravedad de la lesión, el tipo de tratamiento y la respuesta del cuerpo a la rehabilitación. En promedio, las fracturas y lesiones complejas pueden tardar entre 6 semanas y varios meses hasta lograr una recuperación completa. El seguimiento y las terapias físicas aceleran el proceso y ayudan a recuperar la movilidad y la fuerza.